





11月30日上午,復旦大學附屬中山醫院葛均波院士帶領的結構性心臟病團隊成功應用Lux-Valve Plus經血管三尖瓣置換系統,為一位外科高危的極重度三尖瓣反流患者完成了經頸靜脈入路三尖瓣置換術,并獲得圓滿成功!葛均波院士、周達新教授、魏來教授、潘文志教授等和心超室的潘翠珍教授、李偉教授及麻醉科的郭克芳教授共同完成了本次手術。

此次Lux-Valve Plus經血管三尖瓣置換手術旗開得勝,標志著由復旦大學附屬中山醫院葛均波院士團隊作為主要研究者的全國多中心臨床探索性研究正式啟動,在2019年亞洲首例經導管異位三尖瓣植入術基礎上,開啟了我國三尖瓣介入治療領域的新篇章。

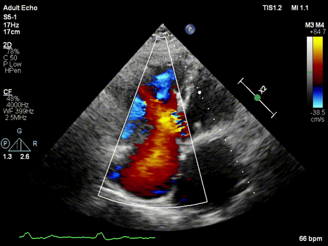
本次接受治療的患者是一名74歲的女性,14年前因風濕性心臟病行二尖瓣生物瓣植入術,合并房顫。近3年來反復因腹脹、納差、下肢水腫入院,藥物治療欠佳。心臟超聲顯示三尖瓣極重度反流(有效反流口面積:0.76cm²,反流容積:79ml),繼發性右房室增大及上、下腔靜脈增寬(右房上下徑*左右徑:52*41mm,右室左右徑:46mm,下腔靜脈:29mm),右室收縮功能正常,肺動脈收縮壓 43mmHg,左心室射血分數73% ?;颊呒韧_胸手術史,術前評估STS 評分為7.02分,CRS 9分,無法接受體外循環下三尖瓣外科手術。面對這一傳統治療無法解決的困境,葛均波院士及其團隊周達新教授、潘文志教授、張源博士、陳莎莎博士及心超室的潘翠珍教授、李偉教授經過討論決定,采用創新的Lux-Valve Plus系統為患者進行經血管三尖瓣置換。


手術在患者全麻狀態下進行,采用經右側頸靜脈作為入路,將裝載有人工瓣膜的輸送器緩慢推送至右心房;并在經食道超聲和DSA的引導下小心調整輸送器角度,將輸送器送入右心室;逐步釋放瓣膜錨定裝置和盤片,調整瓣膜位置后,錨定瓣膜完成植入。術后右房壓明顯下降,從術前的25/10(16) mmHg降至術后即刻的12/7(10) mmHg,術后超聲提示人工三尖瓣同軸性良好,固定牢固,無反流及瓣周漏,手術室即刻拔除氣管插管。



三尖瓣反流是一種常見的心臟瓣膜疾病,數據顯示我國中度以上三尖瓣反流的患者近千萬。患者通常起病緩慢,待出現癥狀時往往步入高齡、病情復雜;傳統外科手術創傷大、死亡率高,大量三尖瓣反流患者已沒有機會進行傳統外科手術,無法得到有效救治。而三尖瓣解剖結構復雜,設計和使用針對三尖瓣反流的創新器械一直是心臟介入領域的熱點和難點。
Lux-Valve是我國第一款擁有完全自主核心知識產權的“三尖瓣”瓣膜介入產品,其全球首創的“非徑向支撐力依賴”錨定方式能更好地適應三尖瓣組織菲薄脆弱的特性,且大大減低了傳導阻滯等并發癥的發生概率,并能適應更大范圍的瓣環尺寸,應用于更廣泛的患者。Lux-Valve Plus對輸送系統進行了全面升級,實現了經頸靜脈入路,進一步減少了創傷和風險。
葛均波院士寄語
Lux-Valve已完成約200例的臨床手術,初步統計結果顯示瓣膜具有很好安全性和有效性。Lux-Valve Plus對Lux-Valve輸送系統進行了全面升級,實現了經頸靜脈入路,進一步減少了創傷和風險。葛均波院士團隊早期即參與了Lux-Valve Plus的臨床前動物實驗研究,對系統改進提出重要意見。該臨床研究使用的器械正是新一代Lux-Valve Plus瓣膜及輸送系統,患者是一位外科手術高危的極重度三尖瓣反流患者。在手術過程中,該系統使用體驗非常流暢,僅僅40分鐘就順利完成了手術。
這是我國第一款經血管三尖瓣置換瓣膜產品。在老齡化社會、三尖瓣反流患者的治療需求遠遠未被滿足的大背景下,它必將成為醫生手中的一款有力武器。今天的手術成功為Lux-Valve Plus多中心臨床研究打響了第一槍,預祝接下來的臨床研究順利進行,這一自主創新的臨床器械能早日造福中國三尖瓣反流患者。