





2022年9月29日,四川大學華西醫院心臟內科陳茂教授、馮沅教授團隊首次采用我國自主研發的創新產品MicroFlux®房間隔造孔支架系統為一例肺動脈高壓右心衰患者成功實施了房間隔造口術,實現了心房分流減壓,術后各項檢查顯示手術達到預期效果,患者恢復良好,無不良事件發生,擬于近日出院。MicroFlux®房間隔造孔支架系統在研發過程中得到了陳茂教授、馮沅教授團隊從臨床角度上的精心指導,體現了我國心衰介入領域醫工結合的新高度,此次首例人體植入的成功實施是我國在心衰和肺動脈高壓器械治療領域的又一重要突破。

病例特點
患者,女性,50歲,既往因“先天性心臟病、房間隔缺損”于10余年前在外院行“房間隔缺損留孔修補術”。5年前患者無明顯誘因開始出現活動后呼吸困難伴胸痛,行心臟彩超提示“房間隔缺損修補術后、重度肺動脈高壓“,長期口服“馬昔騰坦、他達拉非、呋塞米、螺內酯、地高辛”等藥物治療,但自覺活動后呼吸困難伴胸痛癥狀逐漸加重,為進一步診治入院。
術前評估
入院后行心肺運動試驗:峰值攝氧量Peak VO2=13ml/min/kg(占預計值47%)。
NT-proBNP:750 ng/L。
動脈血氣分析:PO2 66.5mmHg,PCO2 33.5mmHg,SaO2 94%。
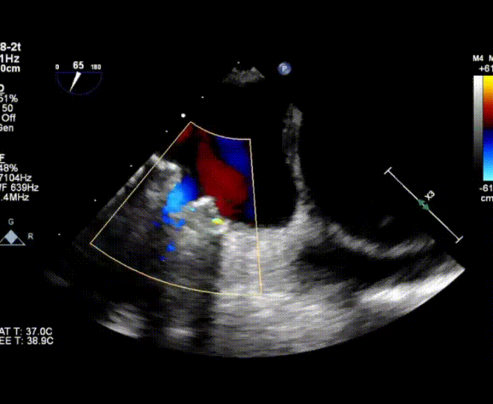
超聲心動圖提示:右心增大,右室肥厚,左室測值偏小,房間隔中份探及修補術后回聲,房水平未見殘余分流,三尖瓣重度反流,重度肺動脈高壓,中度肺動脈瓣反流,左室收縮功能測值正常,右室收縮功能減低 。
患者藥物治療效果不佳,經多學科團隊討論后認為具有心導管檢查及房間隔造口術指征,無手術禁忌,與患者充分溝通取得知情同意后決定采用MicroFlux®房間隔造孔支架系統實施房間隔造口術。
操作過程
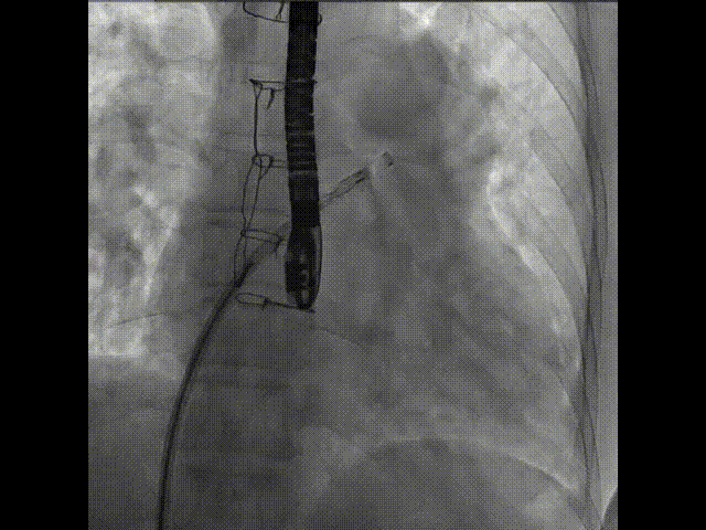
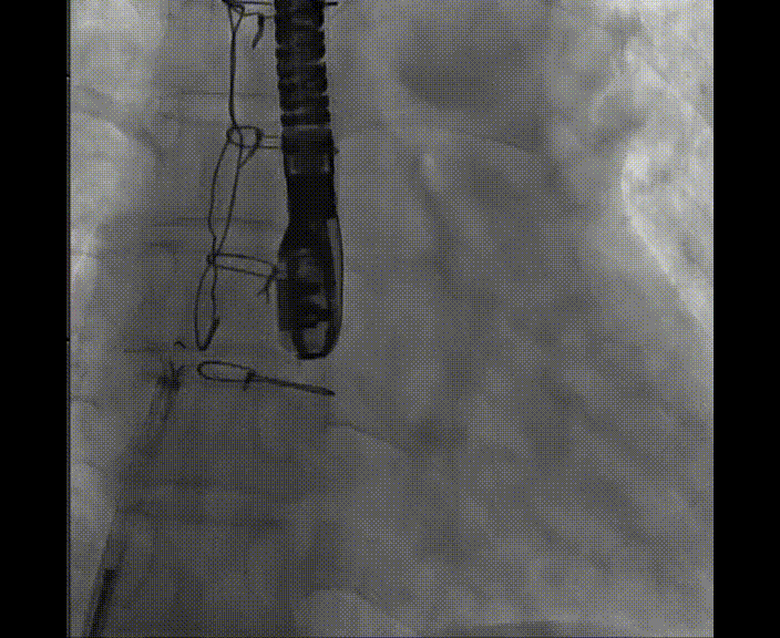
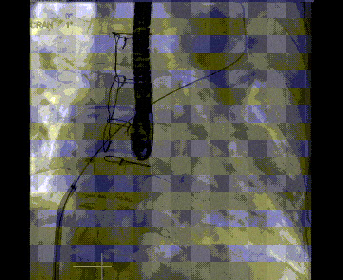
術中首先在局麻下穿刺股動脈、股靜脈,完成心導管檢查評估后轉為全麻,在食道超聲引導下穿刺房間隔,穿刺成功后將加硬導絲送入左上肺靜脈建立軌道,根據患者病情行球囊預擴張后植入6mm孔徑房間隔造孔支架,經透視及食道超聲評估支架左右盤展開良好,夾持于房間隔兩側,固定穩定、位置良好,食道彩超顯示房水平右向左為主分流,分流孔直徑符合預期大小,心導管檢查評估達到預期效果,釋放造孔支架。術后12h患者下床活動,恢復順利,擬于近日完善術后評估后出院。





心房分流術是通過器械制造穩定可控的心房間分流,適應證包括藥物治療效果不佳的左心衰或肺動脈高壓右心衰。本例患者為肺動脈高壓右心衰,術中成功放置MicroFlux®造孔支架在房間隔理想位置上,創造穩定可控的心房間分流(此例患者以右向左分流為主),在不顯著增加左心負擔的情況下,有效降低患者右心房壓力、緩解體循環淤血,增加左心輸出量,改善患者癥狀、活動耐力和生存質量。同時,國內外也已經開展多項房間隔造孔支架在射血分數保留、射血分數中間值和射血分數降低的左心衰患者中的臨床研究,結果顯示對于經過充分的規范化藥物治療后仍控制不佳的患者,心房分流術可改善患者的癥狀及生存質量。
MicroFlux®房間隔造孔支架由寧波健世科技股份有限公司全資子公司寧波迪創醫療科技有限公司研發,其采用一體式差異內皮化技術(中心分流區防內皮化設計、邊緣非分流區促內皮化設計),在全球具有先進性。鎳鈦合金雕刻支架框架提供分流區強大的徑向支撐力,分流孔抗壓縮能力更強。全球首創內卷式立體構型支架設計,可適應和無損夾持貼合不同形態的房間隔。支架采用巧妙的可控釋放機構:在術中任何時刻均可重復回收釋放,即使支架完全解脫釋放后亦可微創抓捕回收。MicroFlux®具有多種規格支架,可以根據評估結果選擇更合適的分流孔徑,個體化匹配不同心腔解剖和血流動力學特點的患者。目前MicroFlux®房間隔造孔支架系統多中心注冊臨床試驗正在開展,未來將造福更廣大的心力衰竭患者。