





LuX-Valve Plus經導管三尖瓣置換系統是寧波健世科技股份有限公司(簡稱“健世科技”,股票代碼:9877.HK)自主研發的全球創新三尖瓣介入置換產品,在全球范圍內率先引用“非徑向支撐力”和“室間隔固定”的設計理念(即采用貼靠支撐和室間隔錨定的方式進行人工瓣膜的固定),從根源上解決在解剖結構尤為復雜三尖瓣進行人工瓣膜固定的難題。LuX-Valve Plus全球救治性臨床研究已成功在美國、加拿大、法國、德國、瑞士、西班牙開展,并在持續推進中。隨著LuX-Valve Plus在紐約地區的順利應用,進一步推進了其在美國的商業化步伐,同時也體現了這款中國原創醫療器械產品在發達國家地區獲得的廣泛認可。
其一代產品LuX-Valve已進入NMPA注冊審批階段,預期將是全球首批獲準上市的三尖瓣介入置換產品;LuX-Valve Plus亦已完成NMPA的注冊臨床入組,并正在歐洲大規模開展CE MARK注冊臨床入組。

近日,美國紐約Montefiore醫學中心(Montrefiore Medical Center)的Azeem Latib教授團隊成功應用LuX-Valve Plus經血管三尖瓣置換系統為兩位三尖瓣大量反流的患者完成三尖瓣置換手術。術后超聲顯示人工三尖瓣植入穩定,瓣葉啟閉良好,僅殘余微量瓣周漏。患者于手術室即刻拔除氣管插管,血流動力學改善顯著。此次手術是LuX-Valve Plus于紐約的首次臨床應用,治療效果優異。
經過Azeem Latib教授帶領的多學科團隊討論,本次接受治療的兩位患者均為外科手術高危;且受限于影像和解剖結構的局限性,其他的經導管修復、置換系統均不適用。而LuX-Valve Plus獨特的錨定機制(即脫離徑向支撐力的“室間隔錨定”設計理念)和對術中超聲影像的低要求,使得Azeem Latib教授團隊認為這一中國創新醫療器械可以對這兩名患者進行有效治療。
第一名患者是一位86歲的女性,既往有高血壓、高脂血癥、糖尿病、短暫性腦缺血發作(TIA)、左側頸動脈瘤、射血分數保留的慢性心力衰竭、持續性房顫、甲狀旁腺切除術后原發性甲狀旁腺功能亢進的病史。曾于2022年7月因急性失代償性心力衰竭和容量超負荷入院。本次入院是由于心力衰竭和嚴重的三尖瓣關閉不全導致的呼吸困難、胸痛、腹脹和雙下肢水腫加重。


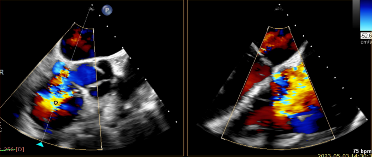
術前超聲提示大量三尖瓣反流

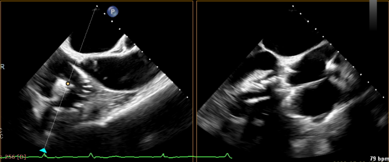
術中輸送器在超聲引導下調整位置


術后超聲提示無瓣周漏
第二名患者是一位72歲的女性,既往有心力衰竭、冠狀動脈疾病、高血壓、高脂血癥、糖尿病、陣發性房顫的病史。她曾多次由于呼吸急促和下肢水腫到醫院就診。本次入院的原因是由于加重的心衰和三尖瓣關閉不全所導致的呼吸急促。


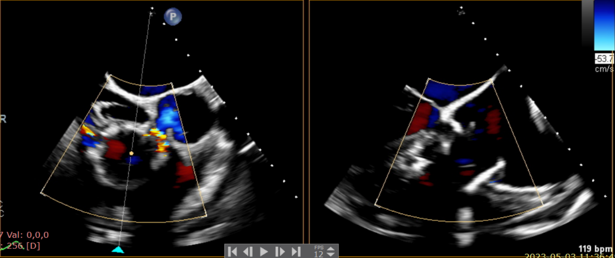
術前超聲提示大量三尖瓣反流

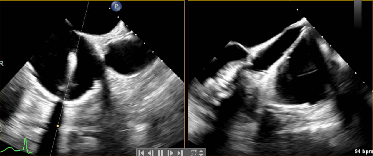
術中輸送器在超聲引導下調整位置


術后超聲提示僅殘余輕微瓣周漏
術后Azeem Latib教授對LuX-Valve Plus經血管三尖瓣置換系統的器械性能和治療效果大為稱贊,并且認為LuX-Valve Plus的手術體驗非常好。從治療效果來看,術后即刻超聲顯示三尖瓣反流幾乎完全消失,血流動力學改善顯著,患者恢復快。在面對復雜解剖結構、超聲影像質量不佳、有起搏導線干擾時,Lux-Valve Plus也體現了極強的適應性。Thomas Modine教授參與了術中指導,他同樣再次肯定了LuX-Valve Plus術中操作的便捷性,認為LuX-Valve Plus容錯率高,對術中影像的依賴小,并表達了后期希望可以更多地應用LuX-Valve Plus三尖瓣置換系統于臨床實踐,讓更多的三尖瓣重度反流患者盡早獲益,改善預后。

示意圖
LuX-Valve Plus采用經頸靜脈入路,不僅對患者損傷進一步減小,同時為術者提供了便捷的術中操作方式。與一代產品LuX-Valve共同已經為全球數百名患者提供了有效的治療,最長隨訪時間逾四年,長期安全性和有效性得到充分驗證。
三尖瓣反流是最常見的結構性心臟病之一,全球有近6000萬存量患者亟需獲得救治。當前全球范圍內,三尖瓣反流尚無有效的治療方法。隨著LuX-Valve即將在中國取證上市、其二代產品LuX-Valve Plus完成NMPA注冊臨床入組,及在北美、歐洲地區商業化步伐的邁進,將有更多的三尖瓣反流患者于此獲益,同時期待中國原創創新醫療器械在國際上取得更多成就。