





近日,健世科技(9877.HK)自主研發的經頸靜脈三尖瓣置換系統LuX-Valve Plus在林逸賢教授團隊的應用下,成功于香港亞洲心臟病中心(HK Asia Heart Centre, HKAHC)完成亞太地區首例收費同情救治使用。
同情使用是一種對于患有嚴重或立即危及生命的疾病或情況的患者在沒有可比或滿意替代治療選擇時,使用在研階段醫療產品(藥物、生物制品或醫療器械),在臨床試驗之外進行治療的潛在方式。

堅守自主研發創新的道路,歷經近十載,健世科技成功開發出LuX-Valve及LuX-Valve Plus經導管三尖瓣置換產品,為三尖瓣重度反流這一公共健康危機和全球性難題交上了令人振奮的解決方案。面對患者們急迫的臨床治療需求,健世科技非常高興能夠通過收費同情救治使用的方式提前為亞太及全球其他地區的三尖瓣重度反流患者點亮生命之光。在此基礎上,健世科技將進一步加速LuX-Valve Plus的全球商業化進程。
手術亮點回顧
本例三尖瓣介入置換手術的患者是一位重度三尖瓣反流(TR)高齡患者,手術獲得圓滿成功,術后超聲提示三尖瓣反流消失,患者心衰癥狀得到顯著改善。
患者情況
該例患者為79歲女性,NYHAⅢ級,心衰癥狀顯著,藥物(大劑量利尿劑)治療9個月后仍出現頑固性踝關節水腫。術前超聲心動圖提示三尖瓣重度反流(5+),右房右室擴大,三尖瓣瓣環擴張合并嚴重三尖瓣葉栓系,TAPSE 1.9cm,gap 23.2mm,PASP 30~35mmHg,LVEF 58%。
術前評估
經過術前詳細評估,林逸賢教授團隊認為患者三尖瓣解剖結構不適用于接受三尖瓣修復器械治療(難以夾持瓣葉),最終決定使用健世科技LuX-Valve Plus經頸靜脈三尖瓣置換系統進行三尖瓣原位置換治療。

術前CT評估三尖瓣瓣環大小

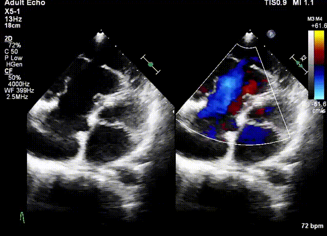
術前超聲
手術過程
手術在全麻狀態下開展,此次手術采用經頸靜脈入路的方式。在TEE及DSA雙重引導下,術者調整輸送器頭端角度使得其與三尖瓣瓣環平面垂直。在輸送器進入右心室后釋放室間隔錨定裝置,而后釋放瓣葉夾持件(2個耳片結構)成垂直狀態。在TEE及DSA確定夾持件固定至三尖瓣葉根部且位于右室側后釋放人工瓣心房側盤片。隨后調整瓣膜同軸性以及室間隔錨定件位置(貼合室間隔),進而釋放室間隔錨定裝置,并再次確認瓣膜位置、穩定性及同軸性,解離人工瓣膜與輸送器間連接,并撤出輸送器,完成了LuX-Valve Plus人工三尖瓣瓣膜的植入。

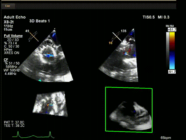
術中DSA

術中超聲
手術結果
陸方林教授通過遠程線上帶教的方式,與林逸賢教授團隊共同完成了此次LuX-Valve Plus人工瓣膜的首例植入。術后食道超聲提示三尖瓣反流完全消失,無瓣周漏,且LuX-Valve Plus人工瓣膜的兩個夾持鍵成功抓取瓣葉,錨定牢固,人工瓣膜穩定性良好。

器械優勢
林逸賢教授表示:雖然此次手術難度大,患者高齡,解剖結構復雜,但LuX-Valve Plus表現出非常顯著的優勢,(1) 操作簡便,器械操作時間短(僅不足30min),器械使用流暢度和容錯率高;(2) LuX-Valve Plus輸送系統調彎性能好,術中可進行五維調整,保證了人工瓣膜良好的同軸性;(3) 術中對超聲影像的依賴程度低,使用經胃底短軸切面,配合右室流入/流出道及X-Plane切面即可相當容易地獲取相關影像,以快速推進手術進程。
術后,林逸賢教授亦提到:三尖瓣一直是心臟所有瓣膜里最被忽略的,主要原因是開胸手術風險相對高,感恩微創治療方案的出現讓老人家又重新看到希望。
全球商業化加速推進
隨著全球老年化程度日益加重,三尖瓣重度關閉不全(反流)已成為不容忽視的臨床難題。
LuX-Valve與LuX-Valve Plus經導管三尖瓣置換系統通過獨特的“室間隔錨定”人工瓣膜固定方式及“自適應防漏環”設計,有效突破三尖瓣重度反流患者的臨床痛點和治療難點。目前已于中國、歐洲、北美、亞太等地區完成逾四百例手術,患者適用范圍廣,大瓣環、解剖結構復雜或術前已安裝起搏器的患者均可嘗試選擇LuX-Valve Plus進行治療,篩選率高,為術者和患者提供多樣化的選擇?;颊叩念A后和生活質量均得到大幅改善。LuX-Valve曾獲得美國FDA授予的突破性器械認定;早期可行性臨床研究的患者已完成四年隨訪,安全性和有效性獲得長期隨訪的驗證。
LuX-Valve已進入到注冊審批階段,有望成為全球首款商業化的三尖瓣置換產品,也將成為中國自主創新醫療器械引領全球三尖瓣重度反流治療技術的重大突破。LuX-Valve Plus全國多中心確證性臨床研究亦已完成全部入組;歐洲地區CE MARK注冊臨床入組正在持續推進;產品設計和療效獲得了全球權威臨床專家的高度認可。
與產業協同共贏
作為健世科技與亞洲心臟中心的投資方,春華資本(Primavera Capital)表示:促成此次合作倍感欣慰,并有幸見證醫療技術的不斷進步為心臟病患者帶來的巨大希望。一直以來,春華資本致力于與被投公司建立長期的伙伴關系,并利用自身的資源積累和投資生態為企業提供支持,推動中國創新醫療技術發展。未來,春華資本期待健世科技和亞洲心臟中心的合作能夠取得更大的突破,造福廣大病患,為社會創造價值。