





為創新而來,為前沿而聚,2024年7月10日至14日,由首都醫科大學附屬北京安貞醫院、亞太結構性心臟病青年俱樂部(AP-SHD)、中康公益基金會主辦,首都醫科大學附屬北京友誼醫院、北京大學第三醫院共同主辦、北京醫學會心血管病分會協辦的2024 Beijing Valves(2024北京瓣膜會)在北京璀璨開幕。本次大會邀請來自全球多家學術中心的著名專家教授,聚焦國際前沿心臟介入技術,全面展示結構性心臟病領域最新研究成果,深入剖析新療法新理論,全方位、多維度的展開結構性心臟病介入治療新篇章。

2024年7月10日,作為本次大會的重磅日程,國際三尖瓣論壇率先拉開帷幕。多場全球連線手術直播、多款創新器械亮相、多位大咖學者在線實操講解,包含三尖瓣疾病診療進展、三尖瓣影像學分析、真實病例詳解,中外專家共聚,深度解析這一個“被遺忘的瓣膜”,學術前沿在此碰撞,全新的理論研究在此展開,吸引了與會嘉賓的格外關注。

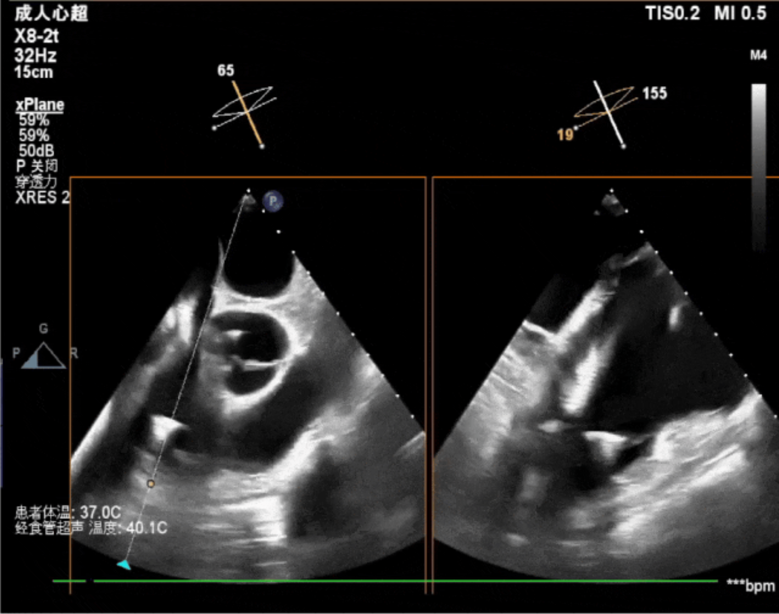
LuX-Valve Plus手術直播
● 中歐攜手,全球視野,下午半場的首輪直播,來自法國波爾多里爾大學中心醫院的Thomas Modine教授與來自上海市第一人民醫院的陸方林教授,攜手LuX-Valve Plus,共同完成一臺極高外科風險、解剖結構復雜的經頸靜脈三尖瓣介入置換手術。陸方林教授介紹,該例患者身體基礎情況較差,STS評分達12.9%,屬于外科極高危手術,無法進行傳統外科手術治療,且存在起搏器導線感染拔除病史,對三尖瓣瓣葉造成無法逆轉的醫源性損傷,瓣葉脫落、腱索斷裂,已無法進行三尖瓣緣對緣修復。結合MDT團隊討論與海外專家溝通交流,手術團隊計劃使用30-55型號LuX-Valve Plus瓣膜完成本次手術。

病史報告
男性,85歲,72kg,BMI 25.5;
起搏器植入后感染拔除手術史,無導線起搏器植入史;
BNP 1187pg/ml;
6MWT:217m,KCCQ:31.6分,NYHA Class:III級;
STS 12.9%。

術中影像

術前DSA造影可見三尖瓣大量返流呈瀑布樣,右室偏間隔側可見無導線起搏器一枚。

術中經食道超聲輔助下可見LuX-Valve Plus夾持件抓捕瓣葉狀態良好,夾持件在位,室間隔錨定位置良好,假體瓣膜整體錨定狀態穩固。
術后即刻經食道超聲可見,三尖瓣假體瓣膜位置合適,牛心包瓣葉運動狀態良好,開閉正常,瓣周及瓣葉對合緣處未見明顯返流,心電圖及心包狀態較術前無明顯變化。
本次直播手術中,手術團隊在超聲與DSA等多維影像手段的支持下,精準嫻熟的完成LuX-Valve Plus瓣膜的植入,器械操作時間僅為30分鐘,瓣膜植入后術中即刻三尖瓣返流消失,多普勒超聲下無明顯瓣周漏或中心性返流,肺動脈壓正常,平均跨瓣壓差僅為1mmHg,人工瓣膜運動正常,術后1小時內該患者即安返病房。
全球聯動,百花齊放
本次LuX-Valve Plus中歐手術直播引發了在場嘉賓的熱議,圍繞國際前沿的三尖瓣療法進展、術前CT超聲多維影像學、三尖瓣置換圍術期管理等話題展開了激烈討論。
●Thomas Modine
CHU de Bordeaux, France

LuX-Valve Plus的操作已經日漸成熟,手術操作標準化流程也已逐漸完善,用時較短,相信LuX-Valve Plus將推動更多的中心開始嘗試進行三尖瓣返流的介入治療,并且LuX-Valve Plus優秀而簡單的設計,將幫助術者團隊快速渡過手術學習曲線。
● 陸方林
上海市第一人民醫院,中國

LuX-Valve Plus領先的經頸靜脈入路,在介入通路建立方面具有獨特的優勢,眾所周知的是,上腔靜脈入口對于到達三尖瓣目標手術區域是直接而準確的。同時,LuX-Valve Plus所特有的室間隔錨定裝置對于三尖瓣非徑向錨定是一項突破性的探索,在穩固錨定的基礎上不影響右冠血流及房室傳導節點,所以我們在中國進行的大規模、多中心、單臂的TRAVEL II研究中,LuX-Valve Plus術后新發心肌梗死率為0%,新發III度房室傳導阻滯率僅為1%,這是一個非常優異的數字。
● Julien Dreyfus
CENTRE CARDIOLOGIQUE DU NORD-ST DENIS, France

今天我們見證了一臺嫻熟、優雅且迅速的經導管三尖瓣置換手術,我們可以看到的是,手術完成后的三尖瓣超聲指標非常完美,值得一提的是,經食道超聲技術在整臺手術中有著非常重要的作用,我們可以用幾個簡單的切面精準的指引LuX-Valve Plus的植入,相信在未來,超聲在三尖瓣介入置換圍術期中將有著更重要且成熟的應用。
聲明 / DISCLAIMER
本文披露內容僅作為學術交流之目的,在任何情況下均不得被視為醫療建議。我司對所有原創、轉載、分享的內容的準確性、完整性或時效性不做任何陳述或保證。
文中所涉數據僅供參考,不能視為建議或推薦,以及要約或邀請。本材料以公開信息、內部開發的數據和來自其它具有可信度的第三方的信息為基礎。但是,并不保證這些信息的完全可靠。所有的觀點和看法基于材料撰寫當日的判斷,并隨時有可能在不予通知的情況下進行調整。
本文提及的任何醫療器械,我司不對其在診療活動中的性能、臨床表現等做任何承諾及保證。